3D打印技術是順應精準醫療發展方向而日漸崛起的高新技術,它能為(wei) 醫者提供更加豐(feng) 富的疾病判斷與(yu) 治療手段,並為(wei) 患者提供更加個(ge) 性化、高效化的診療服務。近年來,在國家科技發展計劃的有力支持以及監管科學的有效推動下,我國3D打印骨科技術部分研究成果達到世界領先水平,發展前景廣闊。
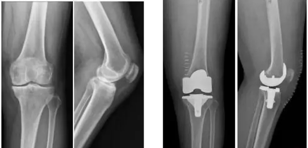
9月30日,四川大學華西醫院骨科的周宗科教授團隊成功為(wei) 患有膝關(guan) 節骨關(guan) 節炎的吳婆婆植入了3D打印分區骨小梁生物型膝關(guan) 節假體(ti) 。飽受膝關(guan) 節疼痛折磨多年的她,在接受手術20多天後,恢複了正常的行走能力。
這種新型假體(ti) 與(yu) 傳(chuan) 統骨水泥假體(ti) 相比,其通過假體(ti) —骨界麵緊密接觸,促使骨組織長入假體(ti) ,提高假體(ti) 與(yu) 髓腔的結合強度,從(cong) 而達到假體(ti) 的長期穩定。使用生物型人工膝關(guan) 節,可保存患者骨量,同時避免或降低了骨水泥所導致的毒副作用。

■圖片來源:紅星新聞
全球首款3D打印,分區骨小梁生物型膝關(guan) 節假體(ti)
膝關(guan) 節骨關(guan) 節炎是一種退行性疾病,近年隨著經濟發展和人口老齡化趨勢日趨明顯,尤其是在中老年群體(ti) 發病率較高,因此膝關(guan) 節置換術需求量日益增長。此外,隨著居民生活水平的提高,大多患者對於(yu) 膝關(guan) 節置換術術後的生活質量和植入假體(ti) 有了更高的要求,隨之假體(ti) 在設計和創新方麵也更精準、更便捷化。全球首款3D打印分區骨小梁生物型膝關(guan) 節假體(ti) 正是在這種高需求與(yu) 高期待的新形勢下應運而生。
目前臨(lin) 床上使用的膝關(guan) 節假體(ti) 多為(wei) 骨水泥固定型假體(ti) ,骨水泥即骨粘固劑,它可以將膝關(guan) 節假體(ti) 固定在骨界麵上。骨水泥固定存在一定局限,如骨水泥單體(ti) 具有一定的毒性;與(yu) 骨接觸麵的骨溶解問題;隨著時間推移,會(hui) 發生變形和退變等。
本次植入的生物型膝關(guan) 節假體(ti) 在術中無需使用骨水泥,通過機械方式進行固定,即假體(ti) 與(yu) 骨組織的緊密結合,獲得假體(ti) 的初始穩定性,遠期骨組織長入假體(ti) 表麵的微孔內(nei) 部,實現由機械固定向生物內(nei) 鎖固定的轉化,最終經過骨整合作用獲得良好固定,預期能夠獲得更長的假體(ti) 壽命。

■周宗科教授
此外,生物型膝關(guan) 節假體(ti) 避免了骨水泥相關(guan) 並發症的發生,縮短了手術時間,最大程度保留了骨組織。因而減輕了患者術後疼痛,降低了圍術期並發症發生率,有利於(yu) 患者術後快速康複。
周宗科教授介紹說,該款3D打印分區骨小梁生物型膝關(guan) 節假體(ti) 有三個(ge) 亮點,一是脛骨平台假體(ti) 采用了3D打印骨小梁分區技術,三分區設計使宿主骨均勻骨長入,避免因應力分布不均而造成平台假體(ti) 鬆動等問題;二是所用股骨髁假體(ti) 表麵為(wei) 真空等離子噴塗純鈦塗層,其粗糙的接觸麵增加了骨誘導的能力,具有優(you) 異的即刻穩定和長期穩定性;三是所用平台墊為(wei) 添加維生素E的高交聯超高分子量聚乙烯材質,具有優(you) 異的耐磨性能。
千億(yi) 級市場
據相關(guan) 統計,2017年全球骨科植入類耗材市場規模超380億(yi) 美元(折合人民幣2428億(yi) 人民幣),約占全球醫療器械市場總規模的9.0%,是醫療器械第四大細分子領域;預計2022年可達到500億(yi) 美元(折合人民幣3195億(yi) 人民幣)。集中度較高,強生、捷邁邦美、史賽克合計占約60%市場份額。

■捷邁邦美膝關(guan) 節植入物
而國內(nei) 2018年市場規模約為(wei) 258億(yi) 元,由於(yu) 我國人口基數大以及近年來“人口老齡化”,市場增速較快遠大於(yu) 全球平均水平;預計到2023年可達505億(yi) 元,有巨大的市場潛力。
但目前在植入物耗材市場占據國內(nei) 市場主要份額的仍是國外企業(ye) ,尤其是高端市場。2017年,國內(nei) 骨科植入類耗材市場銷售額排名前十的企業(ye) 合計占據49.5%的份額。其中前五家國產(chan) 公司合計占據10.7%的份額,前五家進口企業(ye) 合計占據38.8%的份額。

■美敦力3D打印脊柱植入物
3D打印,骨科未來
目前國內(nei) 在骨科植入物市場滲透率較低,遠低於(yu) 美國40%以上,市場潛力巨大。在高端骨科植入(脊柱、關(guan) 節)目前還是國外企業(ye) 占據主導,隻有在相對技術小的領域能夠做到替代。近年國家政策鼓勵支持“國產(chan) 替代”國產(chan) 企業(ye) 迎來利好,應加緊完成創新技術升級。
目前全球骨科4大巨頭強生、 捷邁邦美、史賽克、美敦力在骨科上的布局主要在手術機器人和3D打印方向。與(yu) 機器人不同的是3D打印可以充分人性化的滿足患者的需求,可以定製化服務,開創了前所未有的可能性。

■史賽克3D打印膝關(guan) 節植入物
在醫療領域內(nei) ,骨科植入物是3D打印技術最早實現產(chan) 業(ye) 化的細分領域,3D打印技術由於(yu) 能夠根據患者需求個(ge) 性化地定製植入物形狀,並且可精確控製植入物的複雜微觀結構,實現植入物外形和力學性能與(yu) 人體(ti) 骨骼的雙重適配,在骨科植入領域備受青睞,發展迅猛。
3D打印在骨科植入物的應用,最開始可以追溯到2007年意大利Adler Ortho公司的3D打印髖臼杯通過歐洲認證。到2019年底,全球3D打印生產(chan) 超過60萬(wan) 個(ge) 骨科植入物,市場為(wei) 14.5億(yi) 美元,而國內(nei) 3D打印植入物產(chan) 業(ye) 化2020年市場空間約為(wei) 87億(yi) 元。
相關(guan) 數據顯示,截至2021年1月底,關(guan) 節類骨科植入物本土生產(chan) 企業(ye) 共有近100家,主要分布在北京和上海。與(yu) 創傷(shang) 類和脊柱類骨科植入物相比,關(guan) 節類產(chan) 品國產(chan) 化程度最低,2019年國產(chan) 化率為(wei) 27.5%。公開信息顯示,2019年,我國關(guan) 節類骨科植入物市場排名前五的公司分別為(wei) 捷邁邦美、強生、愛康醫療、春立醫療及林克骨科。其中,本土企業(ye) 愛康醫療和春立醫療已經在競爭(zheng) 中實現了突圍,是現階段關(guan) 節類植入產(chan) 品的國內(nei) 龍頭企業(ye) ,發展前景可期。
轉載請注明出處。







相關文章
熱門資訊
精彩導讀



















關注我們

