閥門在使用過程中,其密封麵長期處於(yu) 介質之中並受到介質的衝(chong) 刷和腐蝕。研究閥門密封麵的強化和修複方法,延長閥門的使用壽命,具有十分重要的意義(yi) 。國內(nei) 對一些高參數閥門的關(guan) 鍵密封麵一般采用等離子噴焊,電弧、火焰堆焊等傳(chuan) 統工藝進行強化[1]。采用激光熔覆工藝對高參數閥門密封麵進行強化處理或修複,與(yu) 傳(chuan) 統工藝相比,密封麵質量明顯提高,耐摩擦磨損、耐腐蝕性能更優(you) 越等一係列優(you) 點。
強化與(yu) 修複的閥門有J41W-25、J41-16P等型號截止閥,RV-SG-1075等安全閥。閥體(ti) 閥瓣材料為(wei) 1Cr18Ni9Ti、2Cr13、r18Ni12Mo3Ti、碳鋼等,其加工麵為(wei) φ50 mm~φ130 mm的環形平麵或環形錐麵。其中有閥瓣外表麵,也有閥體(ti) 的內(nei) 腔表麵。密封麵塗層采用市售或自製的Co基和Ni基粉末,粉末成分根據與(yu) 零件材料和結構相匹配的原則選用或專(zhuan) 門煉製,粉末使用2123酚醛樹脂為(wei) 粘接劑,用酒精調和並預置於(yu) 加工麵上,預塗層厚度根據需要為(wei) 1 mm~3.5 mm不等。為(wei) 與(yu) 傳(chuan) 統工藝作比較,另用等離子噴焊和電弧堆焊加工一批試件,粉末和焊條材料的成分與(yu) 激光加工用粉末的成分相同。試驗先在同種材料的試塊或模擬件上進行,最後再在零件上進行。
激光熔覆技術的原理是,在需處理的零部件表麵預置一層能滿足使用要求的特製粉末材料,然後用高能激光束(聚焦後功率密度為(wei) 104 W/cm2~106 W/cm2)對塗層進行快速掃描處理,預置粉末在瞬間熔化並凝固(冷卻速度達104℃/s~106℃/s),塗層下基體(ti) 金屬隨之熔化一薄層,二者之間的界麵在很窄的區域內(nei) 迅速產(chan) 生分子或原子級的交互擴散,同時形成牢固的冶金結合。在快速熱作用下,基體(ti) 受熱影響極小,無變形。熔層合金自成體(ti) 係,其組織致密,晶粒細化,硬度和強韌性提高,表麵性能大大改善。
試驗用加工機為(wei) HGL―90型5 kW橫流CO2激光器,激光器輸出光束波長為(wei) 10.6 μm,導光係統由光閘、反射鏡和砷化镓(GaAs)晶體(ti) 透鏡組成。聚焦後的激光束對采用預置粉末法塗敷在環形試件表麵上的合金層進行單道激光掃描,工藝參數為(wei) 激光功率2 kW~4 kW,掃描速度4 mm/s~10 mm/s,光斑尺寸φ5 mm~φ10 mm。激光束能量分布形式為(wei) 高斯分布,無保護氣體(ti) 。試件由MNC801型數控回轉工作台驅動。一般體(ti) 積較小或形狀較簡單的零部件不需進行預熱和後處理,對於(yu) 體(ti) 積較大的閥體(ti) 零件需進行預熱與(yu) 退火處理,以消除應力和防熔層開裂。
用萊茨ORTHOPLAN偏光顯微鏡、德國NEOPHOT-21大型金相顯微鏡、SX-40掃描電子顯微鏡對激光熔覆、等離子噴焊試件作金相組織分析、晶粒度評定和微觀形貌觀察,用HZG4-PC X射線衍射儀(yi) 、JCXA-733電子探針儀(yi) 進行物相分析與(yu) 成分分析。
用前蘇聯產(chan) MT-3型顯微硬度計測試試件硬度,用MM200型磨損試驗機對2種工藝處理的試樣與(yu) 光滑無損的GCr15對磨件在室溫加液壓機油潤滑條件下作相對滑動磨損對比試驗,用2種工藝試樣在10%H2SO4溶液、10%HNO3溶液、20%NaOH溶液和30%尿素溶液中分別進行8 h、24 h、48 h、72 h腐蝕,進行腐蝕速率和抗腐蝕性能評價(jia) 。
激光熔覆、等離子噴焊2種工藝處理的熔層金相組織形貌見圖1,沿加工麵垂直方向可分為(wei) 熔化區、互熔結合區、基體(ti) 3個(ge) 區域。從(cong) 互熔結合區看,圖1a所示激光熔層與(yu) 基體(ti) 間有一白亮結合帶,其帶寬約為(wei) 10 μm~30 μm,這是在高能激光束快速掃描時,熔層瞬間熔化並形成熔池,通過熔體(ti) 傳(chuan) 給基體(ti) 表麵的熱量使表麵薄層微熔並與(yu) 熔層合金產(chan) 生分子或原子級交互擴散,從(cong) 而形成了牢固的冶金結合帶。界麵的結合強度與(yu) 輸入的能量密度有關(guan) ,當輸入基體(ti) 的能量密度偏低,如激光功率太小,掃描速度太快,塗層太厚等,基體(ti) 表層會(hui) 因熔化不足而在界麵出現機械結合;輸入的能量密度過高時,又會(hui) 使基體(ti) 過量熔化,熱影響區加大,結合帶加寬,熔層成分被稀釋衝(chong) 淡的程度加大。控製好能量密度與(yu) 掃描速度,可使熔層與(yu) 基體(ti) 不但牢固結合,互熔區小,而且對基體(ti) 熱影響小。圖1b所示等離子噴焊層與(yu) 基體(ti) 的互熔結合區寬大模糊,寬度約為(wei) 120 μm~160 μm。等離子噴焊的基體(ti) 預熱溫度高,熔化的粉末噴向基體(ti) 表麵的熱作用時間長,對基體(ti) 的熱影響大,結合麵比較疏鬆。
(a)激光熔層(b)等離子熔層
圖1結合區形貌(500×)
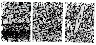
激光工藝處理的熔層底部、中部和上部金相組織形貌見圖2。可見激光熔層以枝晶狀顯微組織為(wei) 主,其組織細密均勻,晶粒度測定為(wei) 10~12級。激光束能量高而集中,作用時間短而使熔層有較大的過熱、過冷度。過冷度大,熔池中的合金元素能迅速地形成多種化合物而增加非自發晶核的數量,使形核率大大提高,因而可形成細小均勻的顯微組織。組織細密能提高晶界結合力和抗腐蝕能力,增加熔焊層的強韌性。X射線衍射儀(yi) 對熔焊層的物相分析還說明,激光熔層生成了多種碳化物、硼化物等多元共晶化合物,具有更為(wei) 複雜的相結構。這種組織與(yu) 物相對熔層的硬度、強韌性、耐磨和耐腐蝕性能無疑更為(wei) 有利。
(a)底部組織(b)中部組織(c)上部組織
圖2激光熔層金相組織(250×)
等離子焊層底部、中部和上部金相組織形貌見圖3。可見組織呈胞晶狀,其組織明顯粗大,晶粒度為(wei) 8~10級。
(a)底部組織(b)中部組織(c)上部組織
圖3等離子焊層金相組織(250×)
本試驗的試樣和零件上,激光熔覆層厚度能達到3.5 mm,塗層表麵較光滑平整。?φ130 mm×5 mm的環形密封麵的平麵度可控製在0.4 mm以下。熔覆表麵粗糙度達到Ra=6.3 μm ,用X2005型X射線儀(yi) 對零件激光熔層進行透照拍片探傷(shang) ,未發現缺陷。據統計,激光熔層的成品率大於(yu) 95%,等離子噴焊層成品率為(wei) 60%~70%,而電弧堆焊層成品率僅(jin) 50%~60%。這是因為(wei) 激光束作用時熔池中產(chan) 生的對流傳(chuan) 質作用[2]能充分攪拌熔池,使熔池中氣體(ti) 和夾雜物能上浮析出,從(cong) 而形成較為(wei) 致密的塗層,保證了熔層的質量。而等離子噴焊過程是利用等離子體(ti) 使噴焊粉末熔化、加速,通過大氣空間再噴射到基體(ti) 材料表麵。此過程伴隨有空氣混入焊層,因此在噴焊層及界麵部位往往有較多的氣孔與(yu) 夾雜物分布在粗大的枝晶之間,不能上浮到表麵。
由能譜儀(yi) 對熔層的成分分析表明,激光熔層成分被基體(ti) Fe的稀釋率為(wei) 等離子噴焊層的1/3,電弧堆焊層的1/14。由圖1、圖2、圖3可見激光熔層晶粒細小,與(yu) 基體(ti) 的互熔結合區細窄,說明熱作用時間短,對基體(ti) 熱影響小,熔層與(yu) 基體(ti) 元素互擴散小,有效地保證了熔層設計成分不被基體(ti) 稀釋,不向基體(ti) 擴散。由此可見,激光熔層能有效地保留預設計的合金成分,並發揮其優(you) 良性能。
密封麵硬度取決(jue) 於(yu) 粉末成分、熔焊方法與(yu) 工藝參數,可根據需要進行選擇與(yu) 調整。當熔焊材料成分相同時,激光熔覆工藝得到的熔層平均顯微硬度比等離子噴焊層高20%~40%,比電弧堆焊層高50%~70%。這是由激光為(wei) 熱源的快速加熱與(yu) 快速冷卻特性形成的。
用1台MM200型磨損試驗機,對塗層材料為(wei) Ni基合金粉,基體(ti) 材料為(wei) 1Cr18Ni9Ti的激光熔覆和等離子噴焊樣品進行了耐磨性能的對比測試。測試條件:2種試樣各製取4片,2片為(wei) 一組。激光或等離子試樣固定不動。對磨件轉速為(wei) 400 r/min,硬度HRC56,加載300 N,磨損時間為(wei) 4 h或8 h。用萬(wan) 分之一天平稱量出每組試片試驗前後重量之差,並取平均值。用千分之一測量顯微鏡測量磨痕寬度,也取每組的平均值。結果見表1。表中L1、L2為(wei) 2組激光熔覆試片,P1、P2為(wei) 2組等離子噴焊試片。從(cong) 表1可看出,激光熔覆層比等離子噴焊層的耐磨性高5倍。
表1磨損試驗結果
用線切割方法切取塗層和基體(ti) 材料同上的激光熔覆和等離子噴焊試塊各4塊,分別在不同溶液中進行腐蝕試驗。腐蝕溶液置於(yu) 溫度為(wei) 60℃的水浴槽中保溫,腐蝕後用精密分析天平稱量其失重量,試驗結果和分析數據見表2。由試驗數據分析可得出結論:激光熔覆工藝試片在H2SO4、HNO3、NaOH和尿素4種溶液介質中的腐蝕速率均低於(yu) 等離子噴焊工藝試片,具有優(you) 良的綜合抗腐蝕性能。在H2SO4、HNO3 2種溶液中的對比尤為(wei) 明顯。
表2腐蝕試驗結果
我們(men) 采用激光熔覆工藝強化的截止閥、安全閥密封麵,其質量明顯優(you) 於(yu) 傳(chuan) 統工藝強化的密封麵。在閥座內(nei) 腔環型密封麵的加工上,激光束可直接掃描,而堆焊、噴焊等工藝因焊具不便進入或操作不便而不能加工或不能保證質量。
在生產(chan) 線上的應用說明,經激光強化的閥門具有更好的耐摩擦磨損、耐衝(chong) 蝕和耐腐蝕等性能,壽命明顯提高,減少了因閥門密封麵事故造成的停產(chan) 損失,閥門使用量減少,提高了生產(chan) 線的安全性與(yu) 可靠性。
轉載請注明出處。







相關文章
熱門資訊
精彩導讀



















關注我們

