隨著醫療信息化的不斷發展,近年來機器視覺技術在醫藥行業(ye) 的應用也越來越廣泛。其中機器視覺VGA采集卡在普通采集卡的基礎上增加了VGA和色差的輸入,可采集VGA信號、標準和非標準RGB分量等信號源,適用於(yu) 高精度、高分辨率的圖像采集、高清VGA視頻圖像的存儲(chu) 、編碼傳(chuan) 輸等要求。因此,其越來越多的用於(yu) 醫療影像領域如B超工作站的信號采集。
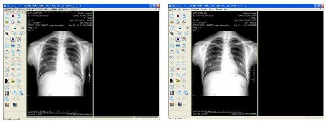
同時,由於(yu) 現在的B超機很多也帶有VGA接口,用專(zhuan) 業(ye) 的VGA圖像采集采集的圖像質量非常高,在行業(ye) 的應用中也得到用戶的普遍認可。如下圖所示,根據客戶要求抓取客戶計算機VGA屏幕輸出的CT以及X光機圖片,其中使用的采集設備是維視圖像研發生產(chan) 的MV-VGA200采集卡,采集分辨率1024*768,刷新率60HZ。采集的圖像細節好,字跡清楚,對比度高,便於(yu) 醫生辨別病變,用於(yu) 光片輸出大屏顯示以及醫療圖像處理分析。
該係列的VGA采集卡產(chan) 品還有MV-VGA200E、MV-VGA400E PCI-E X4接口VGA/HDMI采集卡、MV-VGA420E PCI-E X4接口雙路VGA采集卡、MV-DVI420E PCI-E X4接口雙路DVI/HDMI采集卡可供客戶選用。


上述VGA采集卡的應用實例中,頭部是CT影像、胸部是X光影響,這些用於(yu) 醫療工作站的原始采集設備也是維視圖像研發生產(chan) 的MV-M1000/M2000高端黑白采集卡,該係列產(chan) 品已經廣泛用於(yu) 采集高頻的CT、X光機、核磁等非標準醫療設備中。維視圖像有多年的醫療圖像采集解決(jue) 方案的提供經驗,可為(wei) 用戶提供優(you) 質的視覺解決(jue) 方案。
轉載請注明出處。







相關文章
熱門資訊
精彩導讀



















關注我們

