[摘要]
背景及目的:深部激光嫩膚與(yu) 延長患者治療後休息時間及愈合時間相關(guan) 。我們(men) 的目的是比較點陣式剝脫CO2激光與(yu) 點陣式光熱作用(FP)非剝脫激光嫩膚治療的效果、治療後患者的休息時間及愈合時間。
方法:將有皮膚光損傷(shang) 的10例受試者(包括9例女性),隨機給予其半側(ce) 麵部單次CO2激光治療(Lumenis公司的UltraPulse®Encore™ 及ActiveFX™ 係統),另半側(ce) 麵部則給予5次FP激光治療(Fraxel SR, Reliant Technologies)。通過治療前後的臨(lin) 床及照相來評價(jia) 療效及愈合參數。膠原重塑通過麵部兩(liang) 側(ce) 的組織學來評價(jia) 。
結果:單次CO2激光治療與(yu) 5次FP激光治療的臨(lin) 床療效是相等的。CO2激光治療所需時間為(wei) 6.2分鍾,FP激光治療所需時間為(wei) 24.3分鍾,兩(liang) 者具有顯著性差異(p=0.0002);單次CO2激光治療後的腫脹在4.3天內(nei) 恢複,5次FP激光治療後則需13天;單次CO2激光治療後的紅斑在5.3天內(nei) 消退,5次FP激光治療後則需16.5天;單次CO2激光治療後出現的不適感持續3.3天,5次FP激光治療後則為(wei) 6.0天;單次CO2激光治療後的休息時間為(wei) 4.2天,5次FP激光治療後為(wei) 6.5天。組織學研究表明CO2激光治療後膠原刺激比5次FP激光治療多50%。臨(lin) 床上,研究者觀察到CO2激光治療側(ce) 有30%皺紋出現改善,另一側(ce) 給予非剝脫FP激光治療僅(jin) 有10%~15%改善。
結論:點陣式剝脫CO2激光激光治療(ActiveFXTM)的效果及安全性均優(you) 於(yu) 點陣式非剝脫FP激光治療。
[介紹]
激光嫩膚被認為(wei) 是治療皺紋及皮膚光損傷(shang) 的金標準。該方法最大的缺點在於(yu) 愈合時間較長。能否設計某種治療方式既能縮短愈合時間,又能達到較好的療效,最近已成為(wei) 現實。UltraPulse Encore(Lumenis, Inc. Yokneam, Israel)激光儀(yi) 的ActiveFX模塊,能應用較傳(chuan) 統CO2激光治療創傷(shang) 更小的治療參數。本研究設計的目的為(wei) ,比較有皮膚光損傷(shang) 的受試者在給予UltraPulse®Encore™激光單次ActiveFX治療和點陣式光熱作用(FP)激光(Fraxel SR, Reliant Technologies, Mountain View, CA)多次治療後的休息時間及臨(lin) 床改善程度。
UltraPulse®Encore™是一種10.6微米波長的CO2激光儀(yi) ,其靶目標為(wei) 水。ActiveFX模塊是UltraPulse®Encore™眾(zhong) 多模塊中的一種,要求CPG機頭能實現點陣式皮膚嫩膚。ActiveFX僅(jin) 剝脫皮膚的表皮層,留下完整健康的橋梁狀結構,從(cong) 而實現快速的表皮再生。當健康組織的橋狀結構能夠完整的留下,治療後的愈合時間則會(hui) 明顯縮短。結果為(wei) 熱量聚集,點陣式剝脫,休息時間也縮到最短。ActiveFX的參數為(wei) ,能量70~100mJ,密度1~3(剝脫和熱量加熱區域的55%~95%)。
Fraxel? SR 激光係統采用1540nm的玻璃纖維激光,能產(chan) 生次剝脫脈衝(chong) 的光線,能量為(wei) 6~20mJ。FP激光儀(yi) 應用光學原理將一種熱量形式的能量傳(chuan) 遞到表皮及真皮淺層。
這種FP激光儀(yi) 治療會(hui) 形成一種顯微鏡下的凝固組織區域,在皮膚看起來正常後數周才能愈合。
[材料及方法]
在這項前瞻性、半側(ce) 臉對照研究中,選擇了有皮膚光損傷(shang) 的10名白種人(9名婦女)作為(wei) 研究對象。所有受試者均進行了體(ti) 格檢查並記錄其病史。受試者在研究開始前要求每天用防曬霜,至少持續2周。在研究期間,要求他們(men) 避免暴露於(yu) 日光下及應用廣譜的防曬霜(SPF值不小於(yu) 30)。
對於(yu) 每一個(ge) 受試者,其半側(ce) 麵部給予CO2激光治療,另半側(ce) 麵部則給予FP激光治療。選擇哪一側(ce) 進行何種治療由隨機來決(jue) 定,保證比例為(wei) 1:1。所有的受試者均需簽署知情同意書(shu) 。CO2激光治療的一側(ce) ,在治療前90分鍾應用局麻藥,根據需要給予口服止痛藥。FP激光治療的一側(ce) ,應用藍色染料(OptiGuide Blue)並使其幹燥。在治療前可根據需要給予1%利多卡因注射或口服止痛藥。
隨機確定下來的接受FP激光治療的半側(ce) 麵部在2周內(nei) 共給予5次治療。接受CO2激光治療的半側(ce) 麵部在FP激光治療的最後一次進行單次治療。CO2激光治療的參數為(wei) ,能量90~100mJ,密度為(wei) 3(剝脫82%),頻率為(wei) 75~100Hz,僅(jin) 治療1遍。對於(yu) FP儀(yi) ,第1次治療開始能量為(wei) 8mJ,密度為(wei) 250共8遍。如不同區域需再次治療,則額外增加2遍,能量為(wei) 16mJ,密度為(wei) 125~250。在隨後的第2~5次治療中,能量逐漸增加,最大可達到18mJ,密度為(wei) 250,治療共8遍。對不同區域的再次光斑狀治療,額外增加2遍,能量為(wei) 10~18mJ,密度為(wei) 125;除了上述總的10遍外,眶周還需額外的2遍,口周、額、麵頰及鼻唇溝還需額外的3~4遍,治療後用普通洗麵奶和水去除藍色的染料。
給予CO2激光治療後的麵側(ce) ,受試者會(hui) 被告知注意以下事項:(1)堅持外用密閉的保護霜防止治療後組織在愈合過程中與(yu) 空氣直接接觸,(2)用涼水、醋或Cetaphil衝(chong) 洗麵部,每天至少4次共5天。給予FP激光治療後的麵側(ce) ,受試者則被告知應用UVA/UVB防曬霜,SPF值不得低於(yu) 30,且應含有物理防曬成分。可應用保濕霜來緩解瘙癢及幹燥,同時,根據研究者的考慮,應用冰塊或止痛藥。
受試者被要求評價(jia) 每次治療後的休息時間及在最後1次治療後第3個(ge) 月及第6個(ge) 月進行隨訪評價(jia) 。每位受試者麵部兩(liang) 側(ce) 的照片在每次來接受治療前及每一次隨訪時通過數碼相機(Model S2PRO, Fuji Finepix數碼相機及Canfield Mirror Suite軟件)獲得。每張照片的曝光度、光線強弱、閃光及焦距都是固定的。
每次照相時,受試者坐在相同的角度及離相機相等的距離,照相前皮膚需徹底洗幹淨。
對於(yu) 受試者中的至少3名,需從(cong) 麵兩(liang) 側(ce) 做4次活檢,1次為(wei) 每次治療前,1次為(wei) 治療後立即取材,另2次分別在第3月及第6月隨訪時取材。從(cong) 3名受試者共取得8塊標本,對每一標本需進行標準的光鏡或電鏡組織學檢查。基線及治療後評價(jia) 用Wilcoxon秩和檢驗,2種設備的比較用Mann Whitney檢驗(非配對結果)。兩(liang) 側(ce) 都進行了統計學檢驗。
[結果及討論]
受試者包括9名女性及1名男性,年齡為(wei) 49.9 ± 8.5歲; I型皮膚(n=1),II型(n=2),III型(n=6),IV型(n=1),彈性組織變性評分2分(n=7),4分(n=1)或無效(n=2)(見表1),為(wei) 一完整的研究。
兩(liang) 種儀(yi) 器每次治療後的即刻反應都為(wei) 出現紅斑。FP激光治療後,大部分治療區域及每次治療後出現的紅斑嚴(yan) 重性為(wei) 中度。CO2激光治療後,所有治療區域出現的紅斑嚴(yan) 重性也為(wei) 中度。

兩(liang) 者比較的結果見圖1。CO2激光治療所需時間為(wei) 6.2分鍾,FP激光治療為(wei) 24.3分鍾,兩(liang) 者具有統計學差異(p=0.0002)。
單次CO2激光治療後出現的麵部腫脹在4.3天內(nei) 消退,FP激光5次治療後共需13天才能完全消退;CO2激光治療後的紅斑在5.3天內(nei) 消退,FP激光5次治療後需平均16.5天;CO2激光治療後出現的不適持續時間為(wei) 3.3天,FP激光5次治療後為(wei) 6天。CO2激光治療後休息時間為(wei) 4.2天,FP激光5次治療後休息時間為(wei) 6.5天。CO2激光治療後出現的不適顯著高於(yu) FP激光(p=0.0004)。在CO2激光治療期間出現的不適顯著高於(yu) FP激光(p=0.0273)。#p#分頁標題#e#

圖1:點陣式剝脫CO2激光(FxCO2)及點陣式光熱作用非剝脫激光(FxNON)嫩膚治療的操作(Proc)、腫脹(Swell)、紅斑(Red)、不適(Disc)及休息時間(Down)的平均時間,除操作時間單位為(wei) 分鍾以外,其它所有時間的單位為(wei) 天。操作時間為(wei) 每種激光儀(yi) 單次治療的時間。在所有的受試者中,FxCO2的時間均更短。
對於(yu) 臨(lin) 床改善程度,由研究者及受試者在3個(ge) 月及6個(ge) 月後隨訪時進行評價(jia) ,且研究者及受試者的評價(jia) 無顯著性差異。臨(lin) 床的例子見圖2。

圖2:左側(ce) 為(wei) 受試者治療前的照片,右側(ce) 為(wei) 給予單次點陣式剝脫CO2激光治療(受試者的左側(ce) 麵部)及給予5次點陣式非剝脫激光治療(受試者的右側(ce) 麵部)後的照片。CO2激光治療設置的參數為(wei) 100mJ,100Hz,模式3(平方),光斑大小為(wei) 7mm,密度為(wei) 3。給予單次單遍治療。點陣式剝脫CO2激光的參數設置則根據患者的反應每次遞增。能量水平為(wei) 8-16mJ,密度為(wei) 125-250。每一次治療8遍。在“問題”區域額外增加2遍。眶周和鼻唇溝治療所需的能量要比治療能量水平高2mJ(10-18mJ),必要時密度可減少到125。
在治療後第3個(ge) 月及第6個(ge) 月,受試者對兩(liang) 種儀(yi) 器治療的滿意程度無明顯差異。
彈性組織變性評分在整個(ge) 治療過程中無變化。彈性組織評分在兩(liang) 種儀(yi) 器治療後無顯著差異。
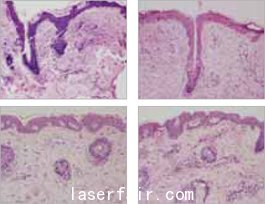
嚴(yan) 重不良反應見於(yu) 其中1例受試者兩(liang) 次治療後。兩(liang) 次均表現為(wei) 輕度的單純皰疹樣皮疹,與(yu) FP第2次和第3次治療有關(guan) 。受試者在治療後10天皮疹恢複。組織學研究表明CO2激光治療後膠原刺激較FP儀(yi) 治療組多50%。其中1例患者的治療結果見圖3。
[結論]
·對於(yu) 皮膚變色,ActiveFX單遍單次治療與(yu) Fraxel 5次多遍治療具有相似的結果。
·ActiveFX單遍單次治療與(yu) Fraxel 5次多遍治療相比具有更優(you) 良的去皺和組織學結果。
· 雖然不是本研究的一部分,但ActiveFX及FP治療的經濟學仍需考慮。ActiveFX單遍單次治療實行起來需要更少的時間,讓受試者花費更少,且不會(hui) 有複發的非必需花費。

圖3:在治療前(左側(ce) )及結束治療後6月(右側(ce) )取活檢標本製作組織學切片,受試者一側(ce) 麵部接受單次點陣式剝脫CO2激光治療(上排),另一側(ce) 麵部接受5次點陣式非剝脫激光治療(下排)。顯微學下分析表明CO2激光治療後新膠原有30%的增加,非剝脫激光治療後新膠原增加僅(jin) 為(wei) 15%。切片由病理學家Justin H. Ekuan, M.D.及AlirezaTafazzoli, M.D.來評價(jia) ,照相由James A. Heinrich, M.D負責。
[參考文獻]
1. Railan D, Kilmer S. Ablative treaTMent of photoaging. Dermatologic Therapy, Vol.18, 2005, 227-241.
2. 510(k) Summary. : Accessed October 14, 2007.
3. Fitzpatrick R, Geronemus R, Goldberg D, Kaminer M, Kilmer S, Ruiz-Esparza J. Multicenter study of noninvasive radiofrequency for periorbital tissue tightening. Lasers Surg Med 2003;33(4):232-42.
轉載請注明出處。







相關文章
熱門資訊
精彩導讀



















關注我們

