[結論]
·對於(yu) 皮膚變色,ActiveFX單遍單次治療與(yu) Fraxel 5次多遍治療具有相似的結果。
·ActiveFX單遍單次治療與(yu) Fraxel 5次多遍治療相比具有更優(you) 良的去皺和組織學結果。
· 雖然不是本研究的一部分,但ActiveFX及FP治療的經濟學仍需考慮。ActiveFX單遍單次治療實行起來需要更少的時間,讓受試者花費更少,且不會(hui) 有複發的非必需花費。

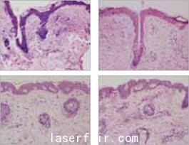
圖3:在治療前(左側(ce) )及結束治療後6月(右側(ce) )取活檢標本製作組織學切片,受試者一側(ce) 麵部接受單次點陣式剝脫CO2激光治療(上排),另一側(ce) 麵部接受5次點陣式非剝脫激光治療(下排)。顯微學下分析表明CO2激光治療後新膠原有30%的增加,非剝脫激光治療後新膠原增加僅(jin) 為(wei) 15%。切片由病理學家Justin H. Ekuan, M.D.及AlirezaTafazzoli, M.D.來評價(jia) ,照相由James A. Heinrich, M.D負責。
轉載請注明出處。







相關文章
熱門資訊
精彩導讀



















關注我們

